Sometimes the issue with a smile is not the teeth themselves, but the gum line around them. Gum contouring is a cosmetic procedure used to reshape excess or uneven gum tissue and create a more balanced frame for the teeth. It is often included as part of a smile makeover, but it can also be a standalone treatment.
Who May Benefit From Gum Contouring?
- Patients with a gummy smile
- People whose gum line looks uneven
- Patients preparing for veneers or crowns
- Anyone wanting better tooth proportions in the smile
How the Treatment Works
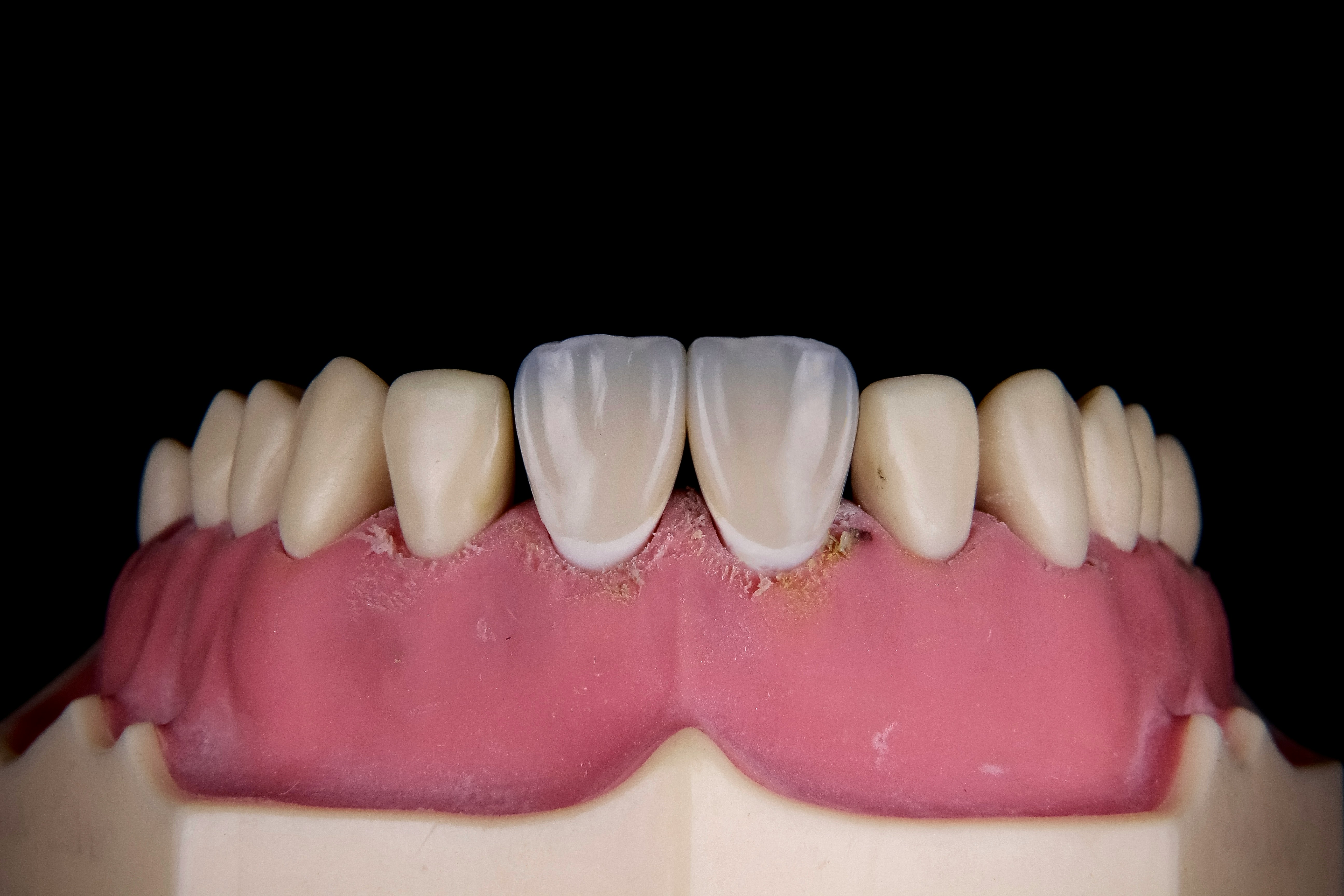
The dentist carefully reshapes the gum tissue to improve symmetry and tooth display. Depending on the case, this may involve laser technology or conventional soft tissue techniques. The correct approach depends on the cause of the gum imbalance and the amount of tissue involved.
Why It Matters for Cosmetic Dentistry
Even beautifully made veneers or crowns can look unbalanced if the gum line is uneven. In some cases, subtle gum contouring can dramatically improve the final result without major restorative work.
Recovery and Travel Considerations
Recovery is usually manageable, but patients should allow enough time for healing before important social events or long travel days. Soft foods and careful oral hygiene may be recommended during the first stage of recovery.
Questions to Ask Before Booking
- Is gum contouring enough, or is restorative work also needed?
- Will the result be shown in a smile design preview?
- How long should I stay in Albania after treatment?
- How should I care for the area afterwards?
Final Thoughts
Gum contouring in Albania can be a small procedure with a big visual impact. It is especially useful for patients pursuing high-level aesthetic results and wanting a smile that looks proportionate, natural, and well planned.
